Universidad de Antioquia · Diplomado en Odontología Estética · Esp. Auditoría en Salud (CES)
Más de 17 años de experiencia en odontología clínica y estética
TP 70196663 · Registro profesional 5-4513-08
Elegir un tratamiento para mejorar la sonrisa no siempre es tan simple como parece. Aunque muchas personas buscan un cambio estético, la realidad es que cada caso necesita una valoración distinta, porque no todos los procedimientos corrigen lo mismo ni responden a las mismas necesidades.
La odontología estética reúne diferentes opciones que pueden ayudar a mejorar la forma, el color, la proporción y la armonía de la sonrisa, pero su indicación depende de factores como la salud oral, la estructura dental y el tipo de resultado que se desea. En esta guía te explicamos qué tratamientos ofrece Be Dharma Dental, qué puede aportar cada uno y cómo identificar cuál puede ser el más adecuado para ti.
¿Qué es la odontología estética y qué puede hacer por tu sonrisa?
Según Cleveland Clinic, la odontología estética es la rama de la odontología que se enfoca en mejorar la apariencia de la sonrisa. Sin embargo, en la práctica clínica, este enfoque no debería entenderse solo como un cambio visual aislado, sino como una atención que también considera salud oral, función, proporción y armonía entre dientes y encías.
Por eso, hablar de estética dental no debería reducirse únicamente a unos cuantos procedimientos. En muchos casos, el punto de partida está en comprender qué necesita realmente la sonrisa: corregir manchas, fracturas pequeñas, desgaste, espacios entre dientes, desproporciones o incluso pérdidas dentales que afectan tanto la apariencia como el equilibrio funcional. Además, algunos procedimientos pueden aportar beneficios estéticos y restauradores al mismo tiempo, dependiendo de la indicación clínica.
En Be Dharma Dental, un tratamiento dentro de la odontología estética no empieza por el material ni por una técnica específica, sino por una valoración profesional. A partir de ese diagnóstico, se define qué procedimiento puede ser más adecuado según la condición oral del paciente, sus expectativas y el tipo de cambio que busca. Así, la planificación se orienta hacia resultados naturales, armónicos y funcionales, evitando decisiones estandarizadas para sonrisas que requieren un análisis individual.
Tratamientos disponibles en Be Dharma Dental
En Be Dharma Dental, cada procedimiento cumple una función distinta dentro del cuidado y la armonía de la sonrisa. Algunos tratamientos están orientados a transformar, otros a conservar, otros a recuperar estructura y otros a mantener los resultados en el tiempo.
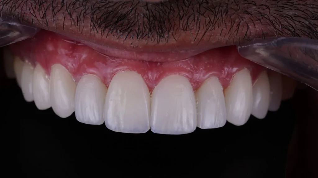
Diseño de sonrisa
El diseño de sonrisa es uno de los tratamientos más completos dentro de la odontología estética, porque permite modificar la forma, el color, la proporción y el equilibrio visual de la sonrisa según las características de cada paciente. Su objetivo no es uniformar los dientes, sino construir una propuesta armónica que tenga sentido con el rostro, la expresión y la función oral.
Puede realizarse con resina de alta estética o con cerámica, dependiendo de lo que requiera el caso. Para definirlo, no basta con elegir un material: es necesario evaluar la mordida, las encías, las proporciones dentales y la relación de la sonrisa con la estructura facial. Por eso, no todos los pacientes necesitan el mismo nivel de intervención ni el mismo tipo de tratamiento.
En Be Dharma Dental, este procedimiento parte de una planificación individualizada orientada a lograr cambios que se vean naturales, proporcionales y coherentes con cada sonrisa.
Microdiseño de sonrisa
El microdiseño de sonrisa es una alternativa conservadora dentro de la odontología estética, pensada para pacientes que ya tienen una buena base dental y solo necesitan corregir detalles puntuales. En lugar de transformar por completo la sonrisa, este tratamiento se enfoca en pequeños ajustes estratégicos que pueden mejorar la forma, cerrar espacios leves o corregir irregularidades sutiles.
Generalmente se trabaja con resina compuesta y con una intervención mínima sobre la estructura dental. Esa es una de sus principales ventajas: permite hacer mejoras visibles sin recurrir a procedimientos más amplios cuando no son necesarios.
En muchos casos, intervenir menos puede ser la decisión más adecuada. Por eso, en Be Dharma Dental el microdiseño se indica cuando realmente aporta valor al resultado final y cuando existe una oportunidad clara de mejorar sin sobretratar la sonrisa.
Mantenimiento de diseño de sonrisa
Los tratamientos estéticos también requieren seguimiento. El mantenimiento de diseño de sonrisa permite revisar la estabilidad del resultado, evaluar posibles desgastes, hacer pulidos cuando se necesitan y verificar que los bordes, la forma y la función se conserven en buenas condiciones con el paso del tiempo.
Dentro de la odontología estética, mantener un resultado es tan importante como planificarlo bien desde el inicio. En muchos casos, estos controles ayudan a prolongar la apariencia de la sonrisa y a detectar de forma temprana pequeños cambios que conviene corregir antes de que avancen.
En Be Dharma Dental, este proceso hace parte de una atención planificada y continua, no de una intervención aislada.
Higiene oral
La higiene oral es una base clínica importante para conservar una sonrisa saludable, armónica y bien cuidada. Aunque muchas veces se percibe como un paso sencillo, en realidad cumple una función clave dentro de cualquier plan de atención, especialmente cuando el objetivo es preservar tejidos, prevenir complicaciones y mantener otros tratamientos en buenas condiciones.
En la odontología estética, una buena higiene no es secundaria. Puede influir en la salud gingival, en la estabilidad de ciertos procedimientos y en la apariencia general de la sonrisa. Por eso, en Be Dharma Dental se entiende como parte de un cuidado clínico bien orientado, que ayuda a sostener resultados y a proteger la salud oral a largo plazo.
Profilaxis dental
La profilaxis dental es una limpieza profesional orientada a remover placa bacteriana y pigmentaciones superficiales que no siempre se eliminan con la rutina diaria en casa. Suele formar parte del cuidado periódico y también puede ser útil antes de otros procedimientos, cuando se busca trabajar sobre una base oral más limpia y controlada.
Más allá de su efecto visual, este procedimiento se relaciona con prevención y cuidado clínico. Dentro de un enfoque de odontología estética, puede ayudar a mantener la sonrisa en mejores condiciones y a acompañar otros tratamientos de forma adecuada.
Detartraje dental
El detartraje dental busca retirar cálculo acumulado en zonas donde el cepillado y la seda dental no suelen ser suficientes. Este procedimiento tiene una función importante en la salud gingival y en la prevención de problemas que pueden afectar tanto la salud oral como la apariencia de la sonrisa.
En muchos casos, también puede ser un paso previo útil antes de otros tratamientos, porque permite trabajar sobre tejidos más sanos y una condición oral mejor controlada. En Be Dharma Dental, el detartraje se integra a una visión clínica que entiende la estética como parte de un proceso más amplio y bien planificado.
Aplicación de flúor
La aplicación de flúor es un procedimiento preventivo que ayuda a fortalecer el esmalte y a proteger los dientes frente a factores que pueden favorecer el desgaste o la aparición de caries. Aunque suele asociarse con cuidado básico, también cumple un papel importante dentro de una atención bien planificada, especialmente cuando se busca preservar la salud oral a lo largo del tiempo.
En pacientes con sensibilidad, mayor riesgo de caries o necesidad de reforzar su rutina de cuidado, este procedimiento puede ser una medida útil dentro del seguimiento clínico. En Be Dharma Dental, la prevención también hace parte de la odontología estética, porque una sonrisa saludable necesita bases sólidas para conservarse en buenas condiciones.
Retiro de Brackets
El retiro de brackets no consiste únicamente en remover los aditamentos al final de un tratamiento. También implica hacerlo con criterio clínico para cuidar la superficie dental, evitar alteraciones innecesarias y dejar la sonrisa en condiciones adecuadas para la siguiente etapa del manejo.
En muchos casos, después del retiro puede ser conveniente realizar limpieza, pulido o incluso valorar otros procedimientos que ayuden a mejorar la apariencia general de la sonrisa. Dentro de la odontología estética, este paso puede marcar una diferencia importante, porque permite cerrar el proceso de ortodoncia de forma cuidadosa y preparar los dientes para su mantenimiento o para nuevos ajustes, si el caso lo requiere.
Blanqueamiento dental profesional
El blanqueamiento dental profesional está orientado a aclarar el tono natural de los dientes bajo supervisión clínica. Es un tratamiento que puede ayudar a mejorar la apariencia de la sonrisa cuando existen manchas o cambios de color, pero su indicación depende de factores como el tipo de pigmentación, el estado del esmalte y la presencia de restauraciones visibles.
Por eso, antes de realizarlo, es importante valorar si realmente es adecuado para el paciente y qué tipo de resultado puede esperarse de forma realista. Su duración también suele depender de hábitos como el consumo de café, vino, tabaco o ciertos alimentos con alta pigmentación. En muchos casos, el blanqueamiento puede complementar otros procedimientos dentro de la odontología estética y aportar mayor armonía al resultado final.
Obturación dental con resina
La obturación dental con resina es una restauración que se utiliza para tratar piezas afectadas por caries o por fracturas pequeñas, buscando recuperar tanto la función como la apariencia del diente. Su valor está en que puede integrarse de manera discreta al color y a la forma natural de la pieza tratada, siempre que esté bien indicada y correctamente planificada.
Dentro de la odontología estética, este procedimiento no solo corrige una alteración estructural, sino que también ayuda a conservar la continuidad visual de la sonrisa. En muchos casos, permite devolver soporte y estabilidad sin recurrir a tratamientos más amplios, siempre que la condición del diente lo permita. Por eso, la valoración clínica sigue siendo clave para determinar cuándo una resina es suficiente y cuándo conviene considerar otra alternativa.
Coronas dentales
Las coronas dentales se indican cuando un diente presenta una pérdida importante de estructura o cuando necesita una cobertura completa para recuperar protección, estabilidad y apariencia. A diferencia de restauraciones más conservadoras, la corona envuelve la pieza tratada y se diseña a medida para integrarse de forma armónica con el resto de la sonrisa.
Su fabricación puede realizarse con materiales como porcelana o zirconia, según la necesidad funcional y estética de cada caso. En la odontología estética, las coronas cumplen una función importante porque permiten restaurar dientes comprometidos sin descuidar el aspecto visual del resultado. En muchos pacientes, además, pueden formar parte de planes más amplios de rehabilitación oral o acompañar tratamientos sobre implantes.
Rehabilitación oral
La rehabilitación oral reúne distintos procedimientos orientados a recuperar función, estabilidad y apariencia cuando hay varias piezas comprometidas, desgaste importante o ausencia dental. No se trata de un solo tratamiento, sino de un plan integral que se diseña según las necesidades clínicas de cada paciente y la condición general de su boca.
En muchos casos, la rehabilitación oral puede incluir coronas dentales, prótesis dentales, dientes provisionales, implantes dentales u otras soluciones que permitan restablecer la mordida, mejorar el soporte y devolver armonía a la sonrisa. Por eso, su indicación no depende únicamente de lo visual, sino también de factores funcionales y estructurales.
Dentro de la odontología estética, este tipo de abordaje resulta clave cuando el paciente necesita algo más que un ajuste puntual. En Be Dharma Dental, cada plan de rehabilitación parte de una valoración cuidadosa para definir qué puede aportar cada procedimiento y en qué secuencia conviene realizarlo.
Prótesis dentales
Las prótesis dentales permiten reemplazar dientes ausentes y ayudar a recuperar tanto la función como la apariencia de la sonrisa. Su indicación depende del número de piezas perdidas, de la ubicación de esas ausencias y del tipo de soporte que necesita cada paciente para hablar, masticar y mantener equilibrio en la mordida.
Pueden ser parciales, por tramos o de mayor cobertura, según el caso. Más allá de sustituir dientes, su objetivo es devolver continuidad, comodidad y estabilidad dentro de un plan bien planteado. En muchos pacientes, las prótesis dentales hacen parte de procesos de rehabilitación oral que buscan mejorar la calidad funcional de la boca sin perder de vista la armonía estética.
En Be Dharma Dental, este tipo de solución se valora de forma individual para definir qué alternativa puede adaptarse mejor a las necesidades reales del paciente.
Dientes provisionales
Los dientes provisionales cumplen una función importante en etapas intermedias de ciertos tratamientos restauradores o de rehabilitación oral. Su propósito es proteger estructuras, mantener la apariencia de la sonrisa y acompañar la transición hacia una solución definitiva mientras se completan las fases clínicas del tratamiento.
Aunque son temporales, no deben entenderse como un detalle menor. En muchos casos, ayudan a conservar función, soporte y continuidad estética durante el proceso, especialmente cuando el paciente necesita mantener una imagen cuidada mientras avanza su plan de manejo. También pueden contribuir a evaluar comodidad, adaptación y algunos aspectos del resultado antes de la restauración final.
En Be Dharma Dental, los dientes provisionales se integran a una planificación ordenada, pensada para que cada etapa del tratamiento tenga sentido dentro del resultado global.
Placas estéticas
Las placas estéticas pueden indicarse en casos donde se necesita una solución parcial para reemplazar piezas ausentes y recuperar de forma equilibrada la apariencia de la sonrisa. Su utilidad depende de la condición oral del paciente, del número de dientes a reemplazar y del tipo de soporte que convenga desde el punto de vista funcional y visual.
Dentro de un plan de tratamiento, las placas estéticas buscan adaptarse a las necesidades reales de cada caso, aportando continuidad y mejorando la percepción de la sonrisa cuando están bien indicadas. Como ocurre con otros procedimientos, su elección no debería hacerse de forma genérica, sino a partir de una valoración profesional que permita entender qué alternativa resulta más adecuada.
En Be Dharma Dental, este tipo de solución se contempla dentro de un enfoque individualizado, donde la función y la estética se evalúan de manera conjunta.
Implantes dentales
Los implantes dentales son una alternativa para reemplazar dientes perdidos mediante una estructura que sustituye la raíz y se integra al hueso. Sobre esa base, posteriormente puede colocarse una corona o una prótesis, según lo que requiera el caso. Su objetivo es recuperar soporte, función y apariencia de una manera estable y planificada.
Antes de indicarlos, es necesario evaluar la calidad del hueso, las condiciones generales de la boca y los tiempos clínicos que implica el tratamiento. Por eso, no todos los pacientes son candidatos inmediatos y siempre se requiere una valoración profesional previa. Dentro de la odontología estética, los implantes pueden ser una solución importante cuando la pérdida dental afecta no solo la función, sino también la armonía de la sonrisa.
¿Cómo saber cuál tratamiento necesitas?
La mejor forma de saberlo es mediante una valoración profesional, pero esta tabla puede ayudarte a entender las diferencias generales entre algunos de los tratamientos más consultados. En Be Dharma Dental, la elección no parte de una preferencia estética aislada, sino de una evaluación clínica que considera el estado de la sonrisa, la función, la salud oral y el tipo de cambio que cada paciente desea.
Dentro de la odontología estética, no todos los procedimientos corrigen lo mismo ni responden al mismo nivel de intervención. Hay tratamientos pensados para cambios amplios, otros para ajustes sutiles, otros para restaurar piezas afectadas y otros para reemplazar dientes ausentes o recuperar función en casos más complejos.
| Tratamiento | Candidato ideal | Tiempo clínico aproximado | Nivel de intervención | Enfoque principal |
|---|---|---|---|---|
| Diseño de sonrisa | Pacientes que buscan una transformación más amplia | 2–5 sesiones | Medio a alto | Rediseño de forma, color y proporción |
| Microdiseño de sonrisa | Pacientes con buena base estética y detalles por corregir | 1–2 sesiones | Bajo | Ajustes sutiles y conservadores |
| Blanqueamiento dental | Pacientes con manchas o cambio de tono | 1–3 sesiones | Mínimo | Aclaramiento del color |
| Obturación con resina | Dientes con caries o fracturas pequeñas | 1 sesión | Bajo | Restauración estética y funcional |
| Coronas dentales | Dientes debilitados o muy restaurados | 2–3 sesiones | Medio a alto | Cobertura y protección completa |
| Implantes dentales | Pacientes con pérdida dental | Varias semanas o más | Alto | Reemplazo estructural y funcional |
| Rehabilitación oral | Casos con varias piezas comprometidas o ausentes | Variable | Variable | Recuperación integral |
| Prótesis dentales | Pacientes con ausencia parcial o mayor de piezas | Variable | Medio | Reemplazo dental según extensión |
Esta tabla es orientativa. Cada caso es diferente y, por eso, el tratamiento más adecuado siempre debe definirse después de una valoración profesional.
Tratamientos que se pueden combinar
En muchos casos, una sonrisa no se aborda con un solo procedimiento, sino con una secuencia de tratamientos que responden a distintas necesidades clínicas y estéticas. Dentro de la odontología estética, combinar procedimientos permite trabajar de forma más ordenada sobre la salud oral, la apariencia de los dientes y la estabilidad del resultado en el tiempo.
Un ejemplo es la combinación de blanqueamiento dental con diseño de sonrisa. Cuando el caso lo permite, aclarar primero el tono de los dientes puede ayudar a planificar mejor el resultado final y a lograr mayor armonía entre las piezas naturales y las restauraciones.
También es común integrar detartraje o profilaxis dentales antes de otros tratamientos, ya que partir de una base más limpia y controlada suele favorecer la evaluación clínica y el desarrollo del plan.
En pacientes con pérdida dental, los implantes dentales suelen complementarse con coronas dentales, porque el implante reemplaza la raíz y la corona devuelve forma, función y apariencia visible al diente. En casos más amplios, la rehabilitación oral puede incluir prótesis dentales, dientes provisionales y otras soluciones que se organizan por etapas.
También hay combinaciones orientadas al cuidado a largo plazo. Por ejemplo, un diseño de sonrisa puede requerir controles periódicos y mantenimiento de diseño de sonrisa para revisar desgaste, estabilidad y adaptación con el paso del tiempo. En Be Dharma Dental, estas combinaciones no se plantean de forma genérica, sino a partir de una valoración profesional que define qué necesita realmente cada paciente.
¿Qué evalúa el odontólogo antes de recomendar un tratamiento?
Antes de indicar un procedimiento, el odontólogo necesita entender de forma integral qué está ocurriendo en la boca del paciente. En Be Dharma Dental, este análisis tiene en cuenta qué aspecto de la sonrisa se quiere mejorar y si existen las condiciones clínicas adecuadas para hacerlo de forma planificada.
Uno de los primeros puntos es la salud oral general. Esto incluye revisar si hay caries activas, inflamación, signos de enfermedad periodontal o alteraciones que deban tratarse antes de considerar un procedimiento estético. También se evalúa el estado de las encías, ya que su forma, salud y estabilidad influyen directamente en la armonía de la sonrisa.
Además, se analiza la mordida y la oclusión para entender cómo funcionan los dientes entre sí y si existen contactos que puedan afectar la duración o el comportamiento del tratamiento. La calidad de la estructura dental remanente también es clave, porque no todos los dientes permiten el mismo tipo de intervención.
A esto se suman factores como el bruxismo, el tabaquismo, la alimentación y los antecedentes de tratamientos previos, ya que todos pueden influir en la indicación y en el mantenimiento posterior. Por último, también se escuchan las expectativas estéticas y funcionales del paciente.
¿Por qué elegir Be Dharma Dental para tu tratamiento?
Elegir un tratamiento para la sonrisa implica mucho más que comparar procedimientos. También supone confiar en el criterio clínico, en la forma de planificar cada caso y en el entorno donde se realiza la atención. En Be Dharma Dental, cada proceso parte de una visión integral que busca equilibrio entre salud oral, función y estética, con un enfoque cuidadoso y personalizado en cada etapa.
Equipo médico con experiencia y enfoque interdisciplinario
En Be Dharma Dental, la atención está respaldada por el Dr. Jorge Mario Mejía Correa. El doctor cuenta con formación en la Universidad de Antioquia, Diplomado en Odontología Estética, Especialización en Auditoría en Salud y más de 17 años de experiencia profesional. Su enfoque prioriza la preservación dental, la comunicación clara y una planificación honesta según las necesidades de cada paciente. A esto se suma la visión médica integral del Dr. David Delgado como director médico de la clínica. Este trabajo conjunto permite abordar cada caso con continuidad y criterio clínico.
Torre Médica Oviedo como entorno clínico privado
Be Dharma Dental está ubicado en la Calle 6 Sur #43A-227, Torre Médica Oviedo, consultorios 776–780, en El Poblado, Medellín. La atención se realiza de lunes a viernes de 8:00 a. m. a 5:00 p. m. y los sábados de 8:00 a. m. a 12:00 m. Este entorno ofrece privacidad, comodidad y un contexto clínico adecuado para quienes buscan una experiencia más tranquila, organizada y coherente con un tratamiento bien planificado.
Agenda tu valoración
Si estás considerando mejorar tu sonrisa, el primer paso es una valoración profesional. En esta consulta se evalúa tu caso de forma integral y se define contigo el camino más adecuado según tus necesidades, tu salud oral y el tipo de resultado que buscas.
Preguntas frecuentes sobre odontología estética
¿Qué hace la odontología estética?
La odontología estética se enfoca en mejorar la apariencia de la sonrisa, pero siempre considerando la salud oral, la función y la armonía general de los dientes y las encías. No se trata solo de un cambio visual, sino de valorar qué puede corregirse de forma adecuada según las condiciones de cada paciente.
Dentro de este campo, los tratamientos pueden ayudar a mejorar el color, la forma, la proporción, la alineación visual y la apariencia de piezas que presentan desgaste, fracturas, manchas o restauraciones visibles. En muchos casos, también permite recuperar equilibrio y naturalidad en la sonrisa mediante procedimientos planificados de forma individual.
¿Qué tipos de tratamientos dentales hay?
Existen diferentes tipos de tratamientos dentales, y cada uno responde a necesidades distintas. Algunos están orientados a la prevención y el cuidado clínico, como la higiene oral, la profilaxis, el detartraje o la aplicación de flúor. Otros buscan restaurar dientes afectados, como las obturaciones con resina, las coronas dentales o ciertos procedimientos de rehabilitación oral.
También hay tratamientos enfocados en reemplazar piezas ausentes, como las prótesis o los implantes dentales, y otros que buscan mejorar la apariencia de la sonrisa, como el blanqueamiento dental, el diseño de sonrisa o el microdiseño de sonrisa. La elección depende del diagnóstico, de la salud oral del paciente y del objetivo clínico que se quiera alcanzar.
¿Cuáles son los tipos de tratamientos estéticos dentales?
Los tratamientos estéticos dentales pueden variar según lo que se necesite corregir. Algunos están orientados a mejorar el color de los dientes, como el blanqueamiento dental. Otros buscan modificar forma, proporción y armonía, como el diseño de sonrisa y el microdiseño de sonrisa.
También existen procedimientos que, además de recuperar función, cuidan la apariencia de la sonrisa, como la obturación dental con resina, las coronas dentales, los implantes dentales y algunos casos de rehabilitación oral. A esto se suma el mantenimiento de diseño de sonrisa, que ayuda a conservar los resultados con el paso del tiempo. La indicación de cada tratamiento depende de la valoración profesional y de las necesidades particulares de cada caso.
¿Cuál es el tratamiento estético dental más rápido?
El blanqueamiento dental profesional suele ser el más rápido, ya que puede completarse en una o pocas sesiones. Sin embargo, la velocidad no debería ser el único criterio — lo importante es que el tratamiento esté correctamente indicado para tu caso.
¿Cuál es el tratamiento menos invasivo?
El microdiseño de sonrisa y las carillas en resina suelen ser los más conservadores, ya que buscan corregir detalles puntuales con mínima intervención sobre la estructura dental.
¿Puedo hacerme un diseño de sonrisa si tengo implantes?
Sí, pero requiere una planificación cuidadosa. Los implantes no se modifican como los dientes naturales, así que el diseño debe contemplarlos dentro del plan general.
¿Cada cuánto debo hacer mantenimiento?
Depende del tratamiento y material. En general, se recomienda revisión cada 6 a 12 meses para evaluar restauraciones, higiene y ajustes.
¿Los resultados son permanentes?
Ningún tratamiento dental es eterno, pero muchos pueden durar años con buen cuidado. Depende del material, hábitos, higiene oral y controles periódicos.
¿Es necesaria una valoración antes de cualquier tratamiento?
Sí, siempre. En Be Dharma Dental no se inicia ningún procedimiento sin evaluación clínica previa. Es la única forma de definir qué tratamiento es realmente el indicado.
Referencias
Cleveland Clinic. (2024, noviembre 6). Cosmetic dentistry: Purpose, procedures & benefits. Cleveland Clinic.
Última revisión médica: abril 2026




